
施設案内

施設案内
医院案内
落ち着いた空間で、
安心してお待ちいただけます

受付

待合室

風邪・発熱外来用待合室

診察室1

診察室2

診察室3

処置室

CT・レントゲン室

洗面

トイレ

トイレ(女性専用)

風邪・発熱外来用トイレ
外観

病院外観

エントランス

入口看板
設備紹介
レントゲン

CT

心電図

CRP測定装置

自動血球計数装置

遠心方式血液分析装置

ホルター記録器

小型尿分析器
小型尿分析器

血圧計
血圧計

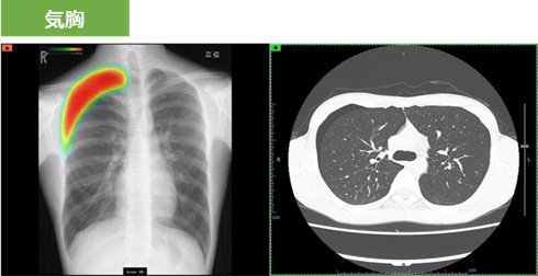
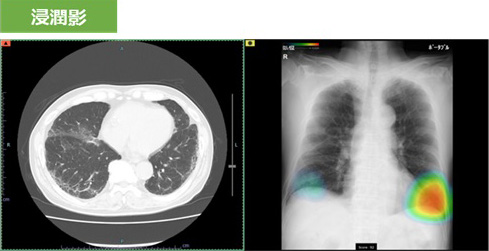
胸部X線画像病変検出ソフトウェア CXR-AID
胸部レントゲンではAI技術を活用した胸部X線画像病変検出ソフトウェア CXR-AID(シーエックスアール エイド)を導入しております。

胸部レントゲン検査でわかること
胸部レントゲン検査では、以下のようなことが分かります。特に、肺がんをはじめとする肺疾患の中には進行が早いものも多いため、早期発見・早期治療がとても重要です。
- 肺の状態:肺炎、肺がん、結核、気胸(肺に穴が開き、空気が漏れている状態)などがないか、肺に水(胸水)がたまっていないかを確認します。
- 心臓の大きさや形::心臓が大きくなっていないか、形に異常がないかを確認します。心不全などが疑われる場合にも有効です。
- 骨の異常: 肋骨や胸骨の骨折や異常がないかを確認します。
- 血管の状態::胸の大きな血管に異常がないかを確認します。
胸部レントゲン検査にAI技術を活用するメリット
胸部レントゲン検査は、検査時間が短く、撮影した部位を比較的すぐ確認できることから、胸部の病気を見つけるための検査としてよく用いられます。しかし、画像での診断となるため、臓器が重なる部分や小さな異常を見つけにくいことがあります。
医師の目視での確認に加えて、CXR-AIDのようなAI技術を「医師の第二の目」として活用することで、通常では見落としやすい異常を発見しやすくなります。

胸部X線画像病変検出ソフトウェア CXR-AIDとは?
撮影した胸部レントゲン画像を自動解析して病変が疑われる領域を検出し、その部分をハイライトします。その領域を医師が再確認することで、見落し防止を支援します。

肺疾患の主要な画像所見となる「結節・腫瘤影」、「気胸」、「浸潤影」を検出することができます。



当院での加算・施設基準に関するご案内
明細書について
当院では、医療の透明化や患者さまへの情報提供を推進する観点から、領収書発行の際に診療報酬の算定項目が分かる 明細書を無償で交付 しております。
一般名での処方について
後発医薬品(ジェネリック医薬品)がある薬剤については、患者さまへのご説明の上、商品名ではなく 一般名(有効成分の名称) で処方する場合がございます。
施設基準の届出について
当院では、厚生局に以下の施設基準を届け出し、承認を受けております。これにより、適切かつ質の高い医療の提供に努めています。
- 時間外対応加算3
- 外来感染対策向上加算
- 神経学的検査
- 情報通信機器を用いた診療(オンライン診療等)
- 在宅時医学総合管理料
- 在宅患者訪問診療料(支援診3)
- CT撮影(16列マルチスライスCT)
